STUDIO DENTISTICO SCALVI
Chi siamo
Lo studio nasce dal desiderio di creare una realtà sul territorio che possa garantire i migliori servizi con le più moderne tecnologie.
Per conoscerci meglio, contattaci!
I nostri servizi
Igiene orale e prevenzione
Avvalendoci della collaborazione di Dottori in Igiene Orale professionisti ci prenderemo cura del tuo sorriso partendo dal controllo e mantenimento di una perfetta salute orale.
Contattaci
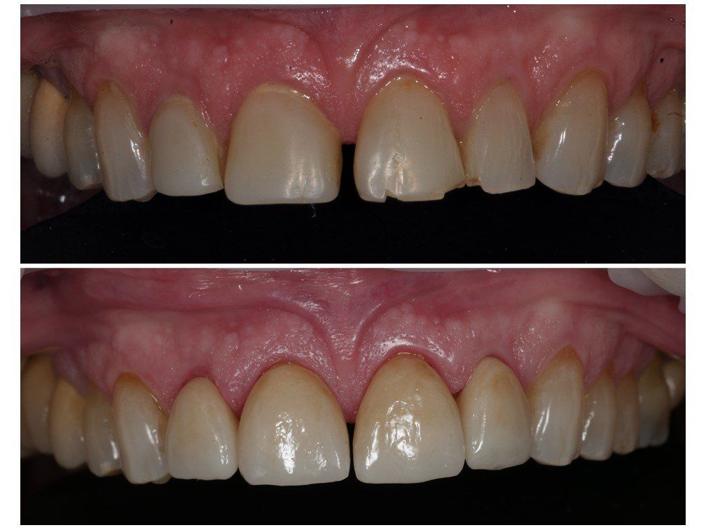
Endodonzia e Conservativa
Per quanto sembrino le più banali, le cure conservative quali otturazioni e terapie canalari (chiamate comunemente devitalizzazioni) sono le cure più frequenti e precoci.
Contattaci
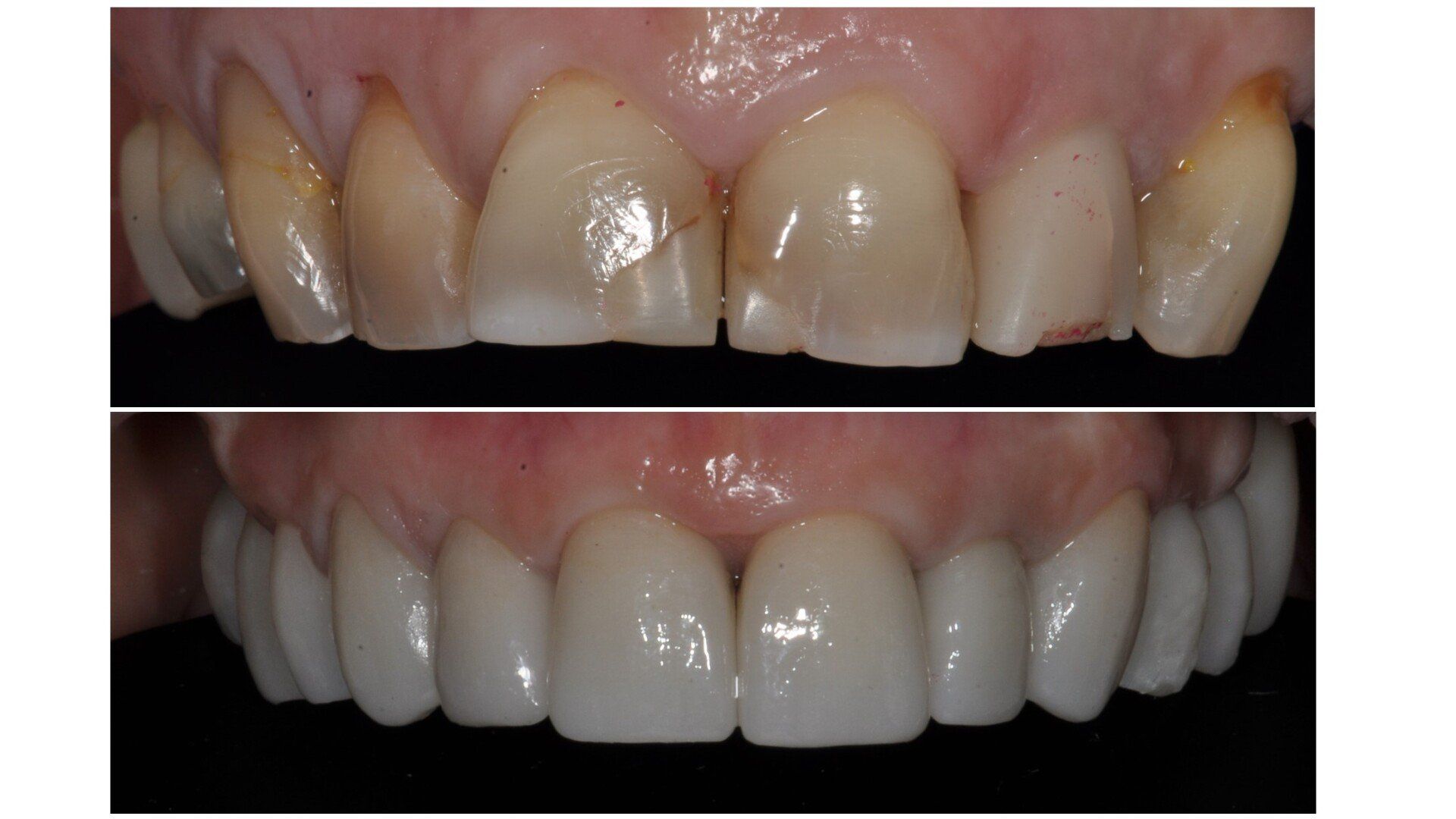
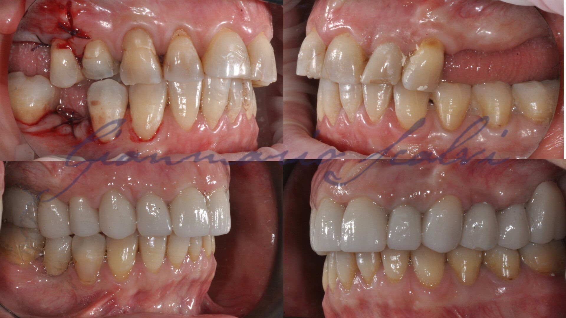
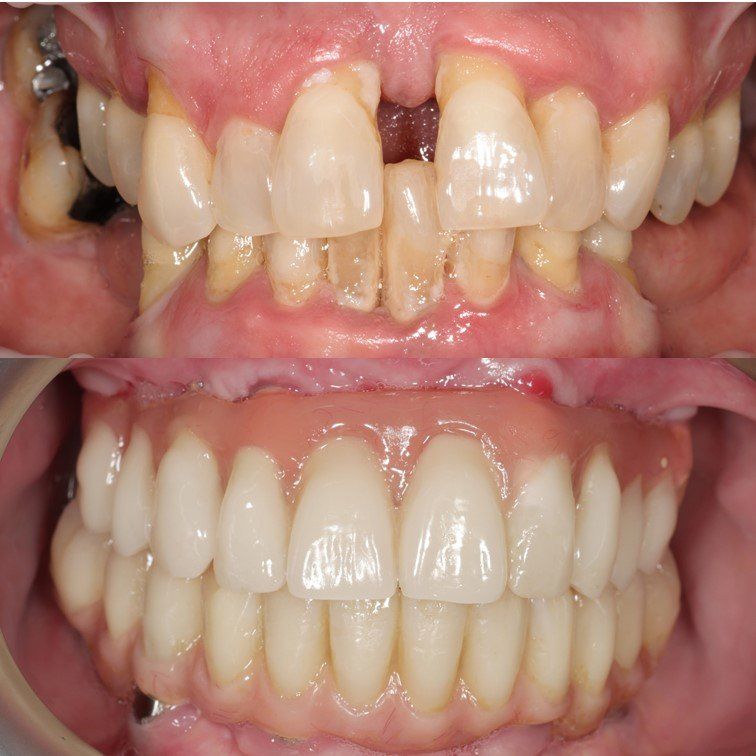
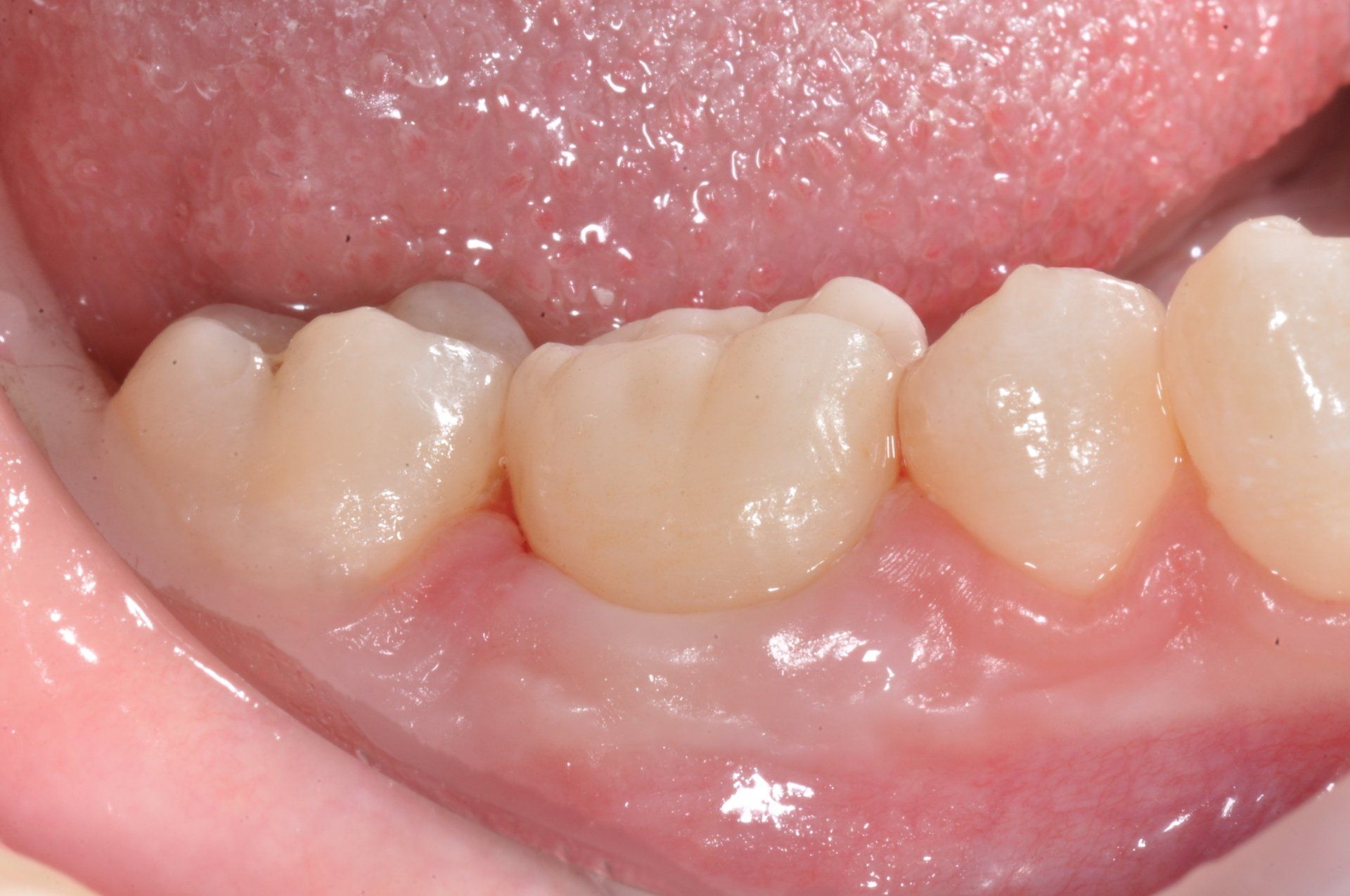
Protesi fissa
Grazie a corone e ponti è possibile sostituire i denti mancanti o gravemente danneggiati
Contattaci
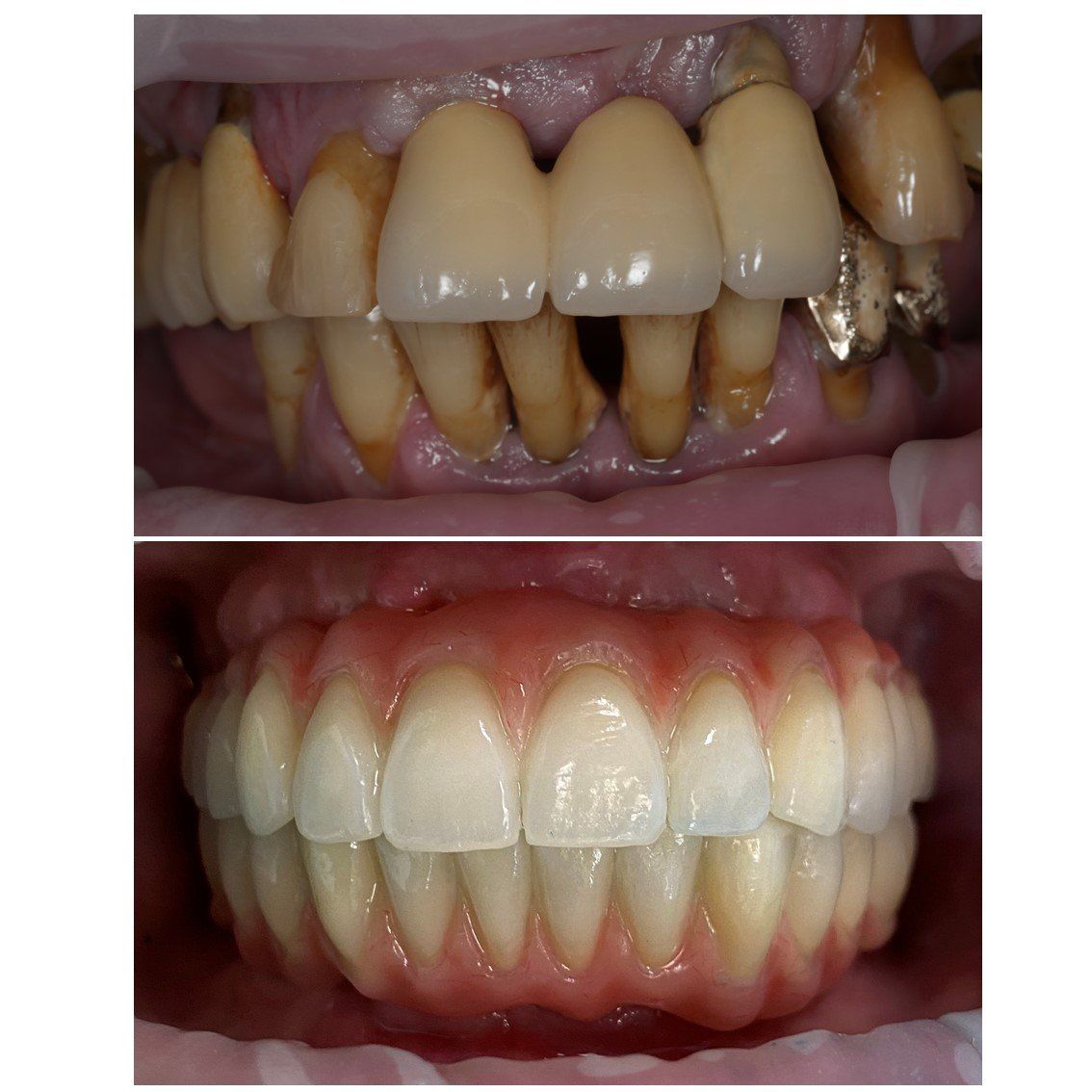
Implantologia
Utilizzando i migliori impianti in commercio e le più moderne tecnologie (laser, piezoelettrico, magnetic mallet...) è possibile sostituire i denti mancanti con la minor invasività possibile.
Contattaci
Implantologia a carico immediato
Se hai aspettato tanto per riabilitare il tuo sorriso..perchè non averlo subito?
Contattaci
Ortodonzia e Invisalign®
L’ortodonzia è la specialità che si dedica allo studio, alla diagnosi e alla terapia delle anomalie di sviluppo e di posizionamento della dentatura, delle ossa del viso e della muscolatura annessa.
L’obiettivo dell’ortodonzia è quello di ottenere un’occlusione (ovvero la chiusura delle arcate dentali) ideale in un viso armonico.
Contattaci
Recensioni dei clienti
Segui
Contattaci
Siamo qui per aiutarti. Inviaci tutte le domande che desideri. Speriamo di leggerti presto.




















